Vullingen
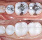
Als een gebitselement afbreekt of aangetast wordt door cariës, kan het gerestaureerd worden door een vulling. We maken voornamelijk tandkleurige vullingen. We beschikken over composieten en glasionomeren. Afhankelijk van de grootte van een defect en de omstandigheden, kiest de tandarts het materiaal wat het beste is voor uw gebit. Beide soorten materialen hechten aan het tandweefsel.
Composieten bestaan uit verschillende kleuren dus we kunnen vaak de kleur goed aanpassen aan de kleur van uw tanden. In zeer uitzonderlijke gevallen kan de tandarts in overleg met u kiezen voor een amalgaamrestauratie (zilveren vulling). We gebruiken uitstluitend kwalitatief hoogwaardige materialen.